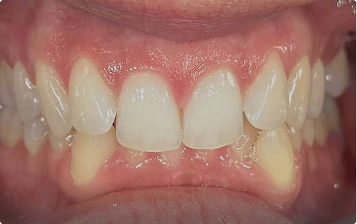
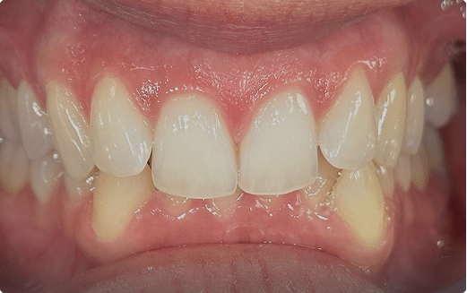
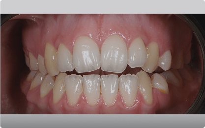
Dientes fijos en 24 h – Antes y después reales
Conoce los pacientes ANTES
y DESPUÉS de su tratamiento
NUESTROS ANTES Y DESPUES DE DIENTES FIJOS EN 24H
Deja que las imágenes hablen por sí mismas: de dientes comunes a una sonrisa extraordinaria, nuestro antes y después te mostrará el poder de una atención dental excepcional.
Nuestro método de trabajo se basa en la transparencia, en la honestidad y en una clara vocación de servicio que hace que nuestros dentistas nunca se conformen.
Contamos con un equipo odontológico de gran experiencia y pericia técnica que se mantiene en continua formación para estar a la última en tecnología y atención al paciente.
Ofrecemos tratamientos reales para problemas reales.

Conoce las sonrisas de dental clinics
Pero no queremos ser nosotros quienes te lo cuenten: queremos que sean ellos, nuestros pacientes, las familias que año tras año nos siguen confiando su salud oral.
¿Por qué? Un trato cercano, un método basado en la calidad asistencial, la transparencia y la honestidad, tratamientos personalizados e indoloros, un lugar en el que sentirse como en casa… Son muchos los motivos por los que elegirnos y son sus sonrisas las que hablan por nosotros. ¡Conoce sus testimonios!
Dientes Fijos en 24 horas
- EN MENOS DE 24 HORAS
- MAYOR COMODIDAD
- RÁPIDO









¡Tu primera visita es gratuita!
Incluye revisión + radiografía

Ortodoncia Invisible
La ortodoncia invisible es el tratamiento de ortodoncia más discreto del mercado.
Está formado por una secuencia de férulas conocidas como alineadores transparentes, ultra finos y a la medida de tus dientes, que resultan prácticamente invisibles al llevarlos puestos.
- Cómodo
- Discreto
- Indoloro

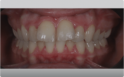
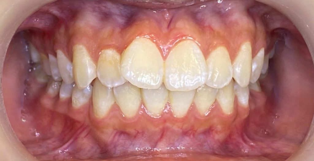
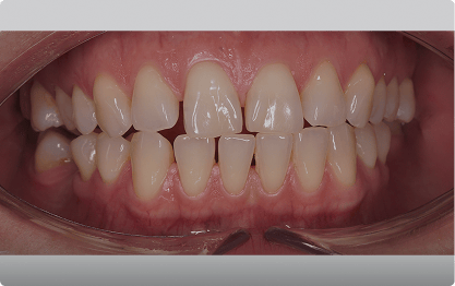
Abarrotamiento / Mordida profunda

Abarrotamiento

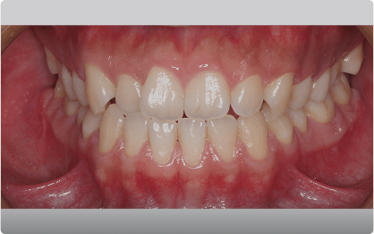
Abarrotamiento

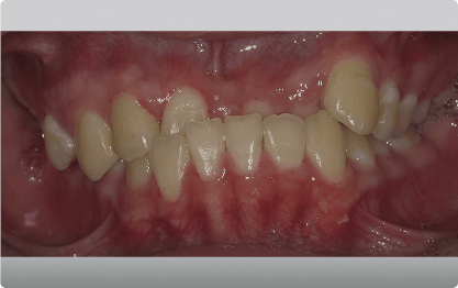
Diastema / Arcos asimetricos

Arcos asimetricos / Abarrotamiento

Abarrotamiento / Mordida profunda

Diastema / Arcos asimetricos

Mordida cruzada anterior / Abarrotamiento

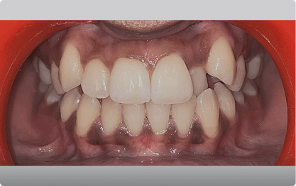
Abarrotamiento / Mordida anterior
Porque tu bienestar es nuestra mayor satisfacción
En Grupo Dental Clinics nos dedicamos a mejorar la calidad de vida de nuestros pacientes, ofreciendo un servicio comprometido y humano.
Queremos verte sonreir con salud y seguridad, sabiendo que estás en mano de expertos que valoran y respetan tu bienestar.
Carillas digitales
Las carillas digitales son una técnica avanzada que utiliza herramientas digitales para diseñar, planificar y producir carillas dentales de composite, utilizadas para corregir diversas imperfecciones como: descoloración, desgaste, astillado o fracturas, desalineación y espacio entre dientes.
- Sin dolor
- Rápido
- Sin anestesia


Escoge la clínica a la que quieres realizar tu consulta gratuita y nos pondremos en contacto contigo en muy poco tiempo dándote respuesta.
Recuerda que también nos tienes disponibles en nuestros canales habituales en redes sociales o llamando directamente a cada clínica.